
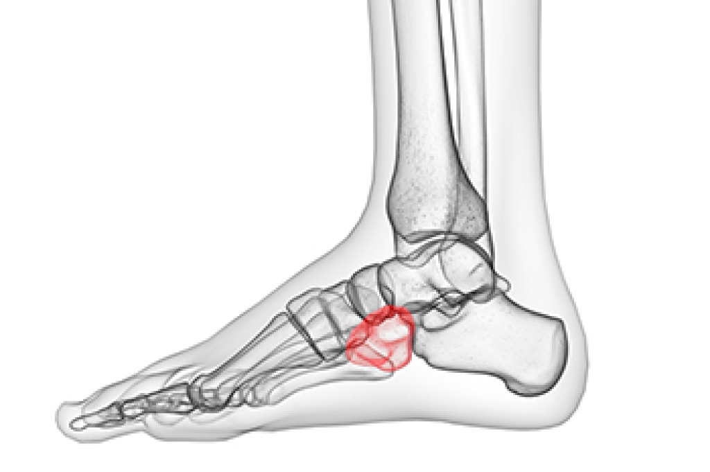
Foot arch pain can affect people of all ages and activity levels. It often develops when the structures that support the arch become strained or inflamed due to overuse, flat feet, high arches, or sudden changes in activity. Symptoms include aching, burning, or sharp pain along the inner or central part of the foot that worsens with standing or walking. The foot may look normal or show subtle swelling, and the arch can feel tender or fatigued, especially first thing in the morning or after long periods on the feet. A podiatrist can help by starting with a detailed history and physical examination, sometimes supported by imaging, to identify the exact cause. Treatment may begin with footwear guidance and custom orthotics, followed by targeted exercises, activity modification, and other therapies to reduce strain and improve support. If you have foot arch pain, it is suggested that you make an appointment with a podiatrist.
Foot Pain
Foot pain can be extremely painful and debilitating. If you have a foot pain, consult with One of our podiatrists from Mitchell Foot & Ankle. Our doctors will assess your condition and provide you with quality foot and ankle treatment.
Causes
Foot pain is a very broad condition that could be caused by one or more ailments. The most common include:
- Bunions
- Hammertoes
- Plantar Fasciitis
- Bone Spurs
- Corns
- Tarsal Tunnel Syndrome
- Ingrown Toenails
- Arthritis (such as Gout, Rheumatoid, and Osteoarthritis)
- Flat Feet
- Injury (from stress fractures, broken toe, foot, ankle, Achilles tendon ruptures, and sprains)
- And more
Diagnosis
To figure out the cause of foot pain, podiatrists utilize several different methods. This can range from simple visual inspections and sensation tests to X-rays and MRI scans. Prior medical history, family medical history, and any recent physical traumatic events will all be taken into consideration for a proper diagnosis.
Treatment
Treatment depends upon the cause of the foot pain. Whether it is resting, staying off the foot, or having surgery; podiatrists have a number of treatment options available for foot pain.
If you have any questions, please feel free to contact our office located in Chicago, IL . We offer the newest diagnostic and treatment technologies for all your foot care needs.



